The outlook, or prognosis, for esophageal cancer depends on several factors, including the stage (how far the cancer has spread) and your general health. Your doctor will evaluate your symptoms and perform tests to check for esophageal cancer. These may include a throat examination, an endoscopy or barium swallow, and a chest X-ray. Often, doctors will also use CT scans, an ultrasound or a positron emission tomography (PET) scan, and thoracoscopy or laparoscopy to see how the cancer has affected the surrounding tissues and organs.
When the esophageal cancer is in its earliest stages (stage 0 or stage I), it is often curable. The 5-year relative survival rate for esophageal cancer that is still localized to the esophagus is about 47%. The outlook is poorer when the cancer has spread beyond the esophagus to nearby lymph nodes or other tissue, or to distant parts of the body.
Chemotherapy is used to kill cancer cells and may be given with or without surgery. The anticancer drugs used in chemotherapy travel through the bloodstream to reach the cancer cells and destroy them. In stage I esophageal cancer, a combination of chemotherapy and radiation therapy is used to improve the chances of a cure.
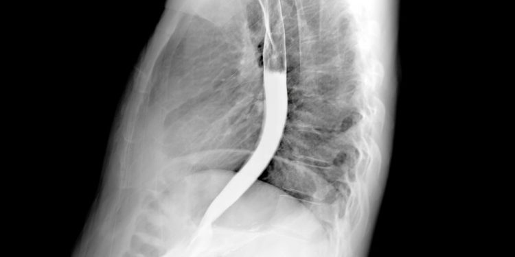
If your esophageal cancer is in the later stages, it may not be curable. However, your doctor will try to reduce your symptoms and discomfort as much as possible. You might get chemotherapy or radiation treatment to control your pain, ease trouble with eating, or reduce the size of the tumor. Your doctor might also use a stent to keep the esophagus open.
Your doctor might use surgery in addition to chemotherapy and radiation for esophageal cancer that has spread to other parts of the body. This is called palliative care. The goal of this treatment is to prolong your life and improve the quality of your remaining time.
A stent is a small tube that helps keep the esophagus open. Doctors sometimes use other devices to help relieve blockage in the esophagus, such as laser therapy or photodynamic therapy. These treatments use high-intensity light to destroy cancer cells.
Few things are more difficult to hear than that you have a terminal illness. But it’s important to remember that if you have a terminal disease, there are ways to manage your condition and make the most of your remaining time. Your doctor will work with you to find a treatment plan that’s right for you. You’ll have the support of your family and friends as you adjust to this new reality. You can find more information about coping with a terminal illness in this section of our site. You can also talk with other people who have had the same experience as you. We hope these resources will be helpful to you. Please contact us if you have any questions about coping with a terminal illness or finding support. We’re here to help. Call or chat online with a Patient Navigator.







