Periadenitis symptoms include bleeding gums, pus and infection in the area around your gums. This can be uncomfortable and make it hard to eat or talk. In severe cases, the disease can result in loose teeth and tooth loss. If left untreated, periodontitis can lead to other health problems such as heart disease, stroke and dementia.
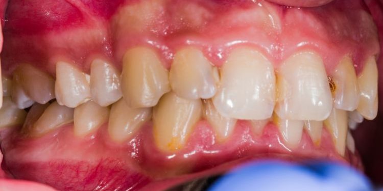
Mild gingivitis
Gingivitis is a mild form of periodontitis that starts as inflammation in your gums. It is caused by bacteria that cling to plaque and tartar on your teeth surfaces. If you don’t brush and floss your teeth as often as you should, the bacteria can build up. When this happens, your gums bleed when you brush or floss them.
Moderate periodontitis
In moderate periodontitis, your gums are more inflamed and you may notice that they bleed when you brush or floss. You may also develop periodontal pockets, which are spaces between your gums and teeth that are filled with plaque, tartar and bacteria.
The signs and symptoms of this condition are similar to those of other forms of gum disease. When you don’t take care of your teeth and gums, the bacteria that cling to them can start to erode the bones and tissues that support them.
Your mouth and gums are your body’s first line of defense against bacteria, so it’s important to keep them healthy. The best way to prevent periodontitis is by practicing good oral hygiene and visiting your dentist regularly for regular cleanings.
Recurrent aphthous ulcers (RAS) and Sutton disease are the most common oral mucosal diseases known to humans, with recurrent aphthous ulcers occurring in 10 – 20% of the population. RAS is a T cell-mediated autoimmune reaction that results in the repeated formation of benign (non-contagious) and non-healing ulcers on the lining of the mouth. The cause of recurrent aphthous stomatitis is not fully understood, but may be associated with nutritional deficiency, local trauma, stress, hormonal influences, allergies, genetic predisposition, certain foods or dehydration.
Minor aphthous ulcers (AU) account for 85% of cases and are 1 to 10 mm in diameter, with a shallow base and covered by a yellow-gray pseudomembrane that encircles an erythematous halo. They heal in 7 to 10 days and occur 3-6 times per year.
Major aphthous ulcers (Sutton disease, periadenitis mucosa necrotica recurrens) comprise 10% of cases and are deeper, larger, and longer lasting than minor aphthae. They appear after puberty and are located on the floor of the mouth, lateral and ventral tongue, buccal mucosa, soft palate, pharynx, and lips.
They are accompanied by fever, dysphagia, malaise, night sweats, weight loss and toxemia. They may disseminate to other areas of the body and are not usually contagious.
The symptoms of recurrent aphthous mucosa can vary, but they typically include pain that is worse during the initial stage and gradually decreases as the ulcer heals. Other possible symptoms of recurrent aphthous may include redness or swelling of the mouth, difficulty swallowing or breathing, and bad breath (halitosis). The rash that accompanies recurrent aphthous is called “pseudobuboes.”





